脳ドックはMRIを使った脳の健康診断です。
1.MRI検査のご案内
当院では、より多くの方にMRI検査を受けていただくため、皆様の生活スタイルに合わせて2コースを用意しています。
- 脳の健康診断だけに特化した「自費MRI検査」
- 脳卒中の危険因子も検査する「日本脳ドック学会推奨脳ドック」
検査をご希望の方は、予約ページまたはお電話でご予約ください。
2.脳卒中とは?
2.1 脳卒中になる方の傾向
「あの元気だった主人が倒れるなんて…」脳卒中になった方のご家族から、こんな話をよく聞きます。これは決して特別な話ではありません。脳梗塞、脳出血、くも膜下出血などの『脳卒中』は、一見健康に見える方にも、何の前ぶれもなく突然起こります。
脳卒中は、歩けなくなったり、言葉が出なくなったり、時には命を失う事もある危険な病気です。
ご本人だけでなく、ご家族にも、経済面や介護の面で多大な負担が掛かってしまい、患者さんとその家族の人生を一変させてしまいます。また、脳卒中は、いったん発病してしまうと何らかの後遺症が一生残ってしまう可能性が高いのです。

脳卒中になる方には傾向があります。次のような方は、脳卒中を起こす可能性を気にしなくてはなりません。
- 中・高年齢の方。
- 高血圧、糖尿病、脂質異常、不整脈がある。
- 家族・親族に脳卒中の方がいる。
- 喫煙、飲酒などの生活習慣。
- 過労やストレスを抱えている方。
- 肥満体型の方。
2.2 脳卒中の予防
もし、脳卒中になってしまったら、残念ながら現在の医療では完全に治す事はできません。しかし、脳卒中は発病する前に予測して予防する事ができます。たとえば、くも膜下出血は脳内の動脈瘤が破裂して起こる病気ですが、MRI検査で破裂する前の動脈瘤を発見する事が可能です。だからこそ、健康だと思っている今、MRI検査で予防につなげる事が大切です。
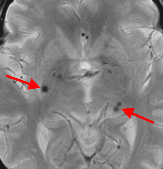
微小脳梗塞
高血圧や糖尿病が原因で脳の細い動脈が詰まって生じます。

微小脳出血
高血圧が原因で脳の細い動脈が破綻して生じます。

未破裂脳動脈瘤
破裂した場合くも膜下出血を起こし、突然死する場合もあります。未然に発見して手術を行い、防ぐ事が可能です。

3.正確な診断のために
3.1 検査設備
脳の検査において、MRIは不可欠な検査機器です。MRIは、磁場を使って脳の内部や脳血管を描き出します。
一方、CTは脳ドックには向きません。CT検査では、造影剤という薬を血管内に注射しなければ脳血管を描き出す事はできないため、脳卒中の原因となる脳血管の変化(脳動脈硬化や脳動脈瘤)は分かりません。
MRIの性能は「テスラ」という単位で数値化されていて、この数値が大きいほど画像の精細度と処理速度が高くなり、検査時間も短縮できます。
横浜脳神経内科では高磁場機種を使用しています。
3.2 専門医のダブルチェック
日本脳ドック学会のガイドラインでは、「脳神経、運動系、反射、感覚系、協調運動、起立・歩行を含む神経学的所見を確認」するよう推奨しています。このガイドラインに従うなら、脳ドックの担当は脳神経内科医になります。当院では、日本神経学会専門医・指導医かつ日本脳卒中学会専門医である医師2名以上でダブルチェックを行い、見逃しがないよう努めています。
丹羽 直樹 医師

石川 達也 医師

木島 千景 医師

当院は日本脳ドック学会認定施設です。
4.詳しい検査内容と流れ
4.1 自費MRI検査
自費MRI検査の所要時間は約30分、検査料金は¥27,500(消費税込み)です。
当院は完全予約制となっており、長時間お待ちいただくことはありません。
検査当日は、次のような流れで検査を行います。
- 1.予約
- 2.MRI検査
- 3.報告書送付
①予約
当院では、完全予約制をとっています。必ず事前に予約をお願いいたします。インターネット、または電話で、予約をしていただけます。
②MRI検査

次に、MRIという機械で脳内の撮影を行います。MRIは磁場を使って、体の中から返ってくる信号をコンピューターで分析し、画像を描き出します。同時にMRAと呼ばれる、血流の信号をとらえて血管を描き出す検査も行います。
日本脳ドック学会のガイドラインでは、脳内の撮影について以下のような記載があり、当院では全てに対応しております。
※以下、脳ドックガイドラインより引用
「T1強調画像、T2強調画像、FLAIR画像を必須、可能な限りT2*(スター)強調画像も撮影」
「MRAでは頸動脈の撮影も推奨」
③報告書送付
検査後に専門医によるダブルチェックを行い、後日結果報告書をご自宅へ郵送いたします。
何か異常があった場合や、ご不明点があった場合は、後日、通常の診療をご予約いただき、保険診療にてご説明させていただきます。
4.2 日本脳ドック学会推奨脳ドック
MRI検査だけでは不安だという方には、日本脳ドック学会の推奨基準に基づいた検査も行っております。
このコースは、MRI検査に加えて、血液・尿検査と心電図検査を追加した、フルオプションMRI検査コースになります。 したがって、検査時間目安も約60分になります。
検査料金は¥49,900(消費税込み)です。
- 1.予約
- 2.MRI検査
- 3.血液・尿検査
- 4.心電図検査
- 5.後日、当院にて結果説明
検査結果については、1週間後以降に、当院にて担当医師から説明をいたします。
(結果説明は無料で行います。検査後に受付にて予約をしていただきます)
もし何か異常が見つかった場合は、明確な治療方針を立て、治療まで責任を持って行います。当院で治療することが難しい病気が見つかった場合には、信頼できる医療機関をご紹介いたします。
お電話でのご予約も受け付けております。
横浜医院(横浜脳神経内科) ☎045‐620‐8920
受付時間:10:00~12:00、14:00~17:00
診療日:月~土
5.よくいただくご質問
- 脳神経外科と脳神経内科の違いがよくわからないのですが
- 脳神経系の病気に対し手術を行うのが脳神経外科、投薬を中心に内科的治療を行うのが脳神経内科です。
- 検査の時間はどの位かかりますか?
- 自費MRI検査は、約30〜40分で終わります。
日本脳ドック学会推奨脳ドックの場合、約60分かかります。 - 検査の費用はどの位ですか?
- 自費MRI検査は、¥27,500(消費税込み)、日本脳ドック学会推奨脳ドックは ¥49,900(消費税込み)となります。
- 脳ドックなのにどうして頸部MRA(首の血管撮影)を撮る必要があるのですか?
- 脳の血管は首の血管とつながっています。首の血管の異常が脳の病気につながることがありますので、これはむしろ必須の検査と考えます。特に、コレステロール値の高い方は大切な検査となります。
- MRI検査中、我慢できなくなったらどうなりますか?
- 途中で中止することも可能です。緊急停止ボタンが付いています。
- 脳ドックには造影剤は使うのですか?
- MRI検査では、造影剤を使わずに脳血管撮影が可能です。
検査前に特別な薬を服用していただく必要はありません。 - 食事の制限はありますか?
- 食事の制限はありません。
- 妊娠の可能性がありますが、検査を受けることができますか?
- 妊娠の可能性のある方、妊娠中の方の検査はできません。
- 歯科インプラントをしていますが、脳ドックは受けられますか?
- 安全のために、かかりつけの歯科医師に確認をお願いしております。
- 費用の助成制度はありますか?
- 助成制度が利用できる場合があります。国民健康保険に加入の方はお住まいの市町村に、社会保険に加入している方は所属の保険組合にお尋ね下さい。
- 閉所恐怖症なのですが、検査を受けることができますか?
- 15分ほど動かずにいていただく必要があります。ご心配でしたら、事前に抗不安薬などを飲んでいただいてから検査する事もできます。 お気軽にご相談ください。
- 診察も検査もしてもらいたい場合は、どうしたらよいですか?
- 通常の保険診療での受診となりますので、通常の診察枠でご予約ください。ご不明な点は、電話でお問い合わせください。
- 検査の結果はどのように分かりますか?
- 当院より、報告書を送付いたします。当院では、慎重を期すために、複数の脳神経内科医によるダブルチェックを行います。そのため、検査当日に結果をお伝えする事ができません。
(フルオプションMRI検査の場合は、検査から1週間以降に、当院にて結果説明を行います。) - 治療が必要になった場合は、どのようになりますか?
- 内科的治療が必要な場合は、改めて診察を受けていただき治療を開始します。当院専門外の疾患または外科的治療が必要な場合は、適切な施設を紹介し治療していただきます
- 白内障の手術をしていて、人工レンズをいれていますが、検査は受けられますか?
- 多くの場合可能ですが、念のため手術を受けた医療機関でご確認をお願いいたします。
- 脳ドックに保険はききますか?
- 脳ドックは予防医療にあたるので健康保険の対象外です。自費診療となります。
- 治療が必要になった場合は、お支払いはどのようになりますか?
- 治療が始まりましたら、その時点から健康保険でのお支払いとなります。
- クレジットカードは使えますか?
- 現金でのお支払いのみとなっております。
- 歯の矯正中ですが、検査を受けることができますか?
- 矯正器具がずれることがあります。担当の歯科医にご確認ください。
- コンタクトレンズはどうすればよいですか?
- 検査前にコンタクトレンズは外していただきます。
- 入れ墨をしていますが、検査を受けることができますか?
- 強い磁場のある部屋に入っていただきます。入れ墨に鉄分を使用している場合があり、火傷の危険があるため検査はできません。
- アートメイクをしていますが、検査を受けることができますか?
- 鉄分を使用している場合があり、火傷の危険があるため検査はできません。
- 化粧したまま検査を受けることができますか?
- アイシャドーに鉄分が含まれている場合があります。危険防止のため、濃いお化粧は検査前に拭き取っていただいております。
- 以前手術で体内に金属を埋め込んだのですが、検査を受けることができますか?
- 材質によりできない場合があります。手術を行った医療機関にて、MRI検査が可能であるかどうかご確認ください。