高齢者の場合、頭痛の原因があっても痛みが軽いか、頭痛以外の症状が前面に出ている事があります。
症例
80代の男性で、腰と膝が悪いため、しばしば歩行中につまずく事がありましたが、転んで頭を打った記憶はありませんでした。
正確な発症時期がはっきりしませんが、「何だか体調が悪い」「何となく頭が重い」「ふらつく事が多くなった」と訴えるようになりました。ご自身は加齢と腰が悪いせいだろうと思い、特に病院を受診しようとは思っていませんでした。
ボーッとしている事も多く、ご家族がアルツハイマー病1) ではないかと思い、ご家族と一緒に横浜脳神経内科を受診しました。
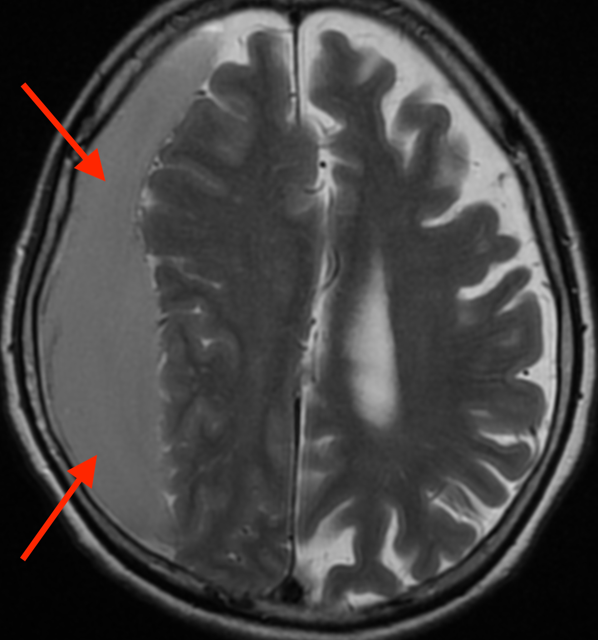
MRI検査をしたところ、
脳の右側に血液が貯まっていて脳を圧迫しており、慢性硬膜下血腫2) という状態です。
慢性硬膜下血腫とは、頭蓋骨の内側にある硬膜という固い膜の静脈が破れて出血した状態で、強く頭をぶつけた後に生じる事が多いですが、原因がはっきりしない場合もあります。頭をぶつけた後、1ヶ月以上たってから生じる事もあります。
特に高齢者の場合には、転んだり頭をぶつけた事自体を覚えていなかったり、痛みの感受性が鈍くなっていたりするため、「頭痛」という症状が隠れてしまう事があります。
参考
(文責:理事長 丹羽 直樹)

