雷鳴頭痛とは、「突然雷が鳴ったような激しい頭痛に襲われる」という、急に激しい頭痛が出現する状態を指します。国際頭痛分類第3版では一次性雷鳴頭痛と分類されており、くも膜下出血などの二次性頭痛(他の何らかの病気からくる頭痛)を除外診断する必要があります。
症例1
40代の男性で30歳頃からたびたび頭痛があり、PCの画面を見て仕事をした後、夕方以降に決まって目の奥や首の後ろが痛くなる傾向がありました。
朝トイレで排便時に、突然後頭部の激しい痛みに襲われました。今までにない頭が割れるような強烈な痛みだったとの事です。
その後も軽い頭痛は続いていましたが、3日目の晩、やはり排便時に後頭部の激しい頭痛が出現し、頭全体に痛みが拡がる感じでした。
最初に頭痛が起きた日から4日目に横浜脳神経内科を受診しました。
MRI検査で脳の血管を見たところ、
脳底動脈という血管の一部がくびれて細くなっており、その下の部分では、血管がソーセージのような形に膨らんでいます。この所見から可逆性脳血管攣縮症候群(RCVS)と診断しました。
雷鳴頭痛と言われる頭痛の原因として、
などの病気が考えられますが、当頭痛外来の経験では、雷鳴頭痛のほとんどが可逆性脳血管攣縮症候群(RCVS)であり、Ducrosらの報告1)とも一致しています。
Chenらのレビュー2)によると、RCVSを発症するきっかけとして、
- 入浴やシャワー(入浴関連頭痛)
- 水泳やスキューバダイビング(潜水時頭痛)
- 排便
- 興奮
- 性交(性行為に伴う一次性頭痛)
- 大声
- 咳やくしゃみ(一次性咳嗽性頭痛)
- 精神的ストレス
- セロトニン作動薬などの薬物
- 更年期など女性ホルモンの変化
などが挙げられています。
引用文献
- The Typical Thunderclap Headache of Reversible Cerebral Vasoconstriction Syndrome and its Various Triggers. Headache 2016: 56: 657-673
- Shih-Pin Chen, Jong-Ling Fuh, Shuu-Jiun Wang: Reversible cerebral vasoconstriction syndrome: current and feature perspectives. Expert rev. Neurothe. 2011: 11: 1265-1276
雷鳴頭痛の多くが可逆性脳血管攣縮症候群(RCVS)ですが、まれな疾患も存在するため慎重な診断が必要です。
症例2
40代の女性で、30歳の頃からたびたび頭痛がありました。
家事をしていたところ、急に目の奥から後頭部に突き抜けるような激しい頭痛に襲われ、鎮痛剤を何回か飲んだのですが全く効きませんでした。その後3日間頭痛が続いており、インターネットで検索したところ可逆性脳血管攣縮症候群(RCVS)ではないかと思い横浜脳神経内科を受診しました。
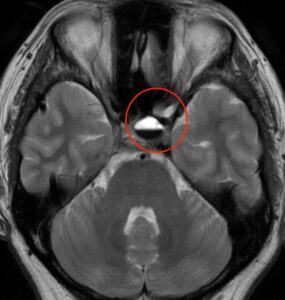
MRI検査をしたところ、
目の奥にある下垂体という部分に異常信号を認めました。
MRA検査(脳の血管を撮像したもの)を見ると、
下垂体に相当する部分に、血管外部に血流を示す信号を認め、下垂体卒中(下垂体腫瘍からの出血)と診断しました。
下垂体は様々なホルモンを分泌する場所で、詳しい内分泌検査が必要となるため、専門医のいる病院へ紹介し経過観察していただく事としました。
参考
(文責:横浜脳神経内科副院長 木島 千景)



