めまいと頭重感が続く場合、脳の疾患を考える必要があります。
症例
60代の女性です。1週間前から何となく頭が重い感じとめまいがあり、風邪かと思い近所の内科医院を受診しました。診察した内科医は、風邪にしては熱やのどの痛みもなく、歩いていると右へ傾くのでおかしいと感じ、脳の病気を疑われて横浜脳神経内科へ紹介され受診しました。
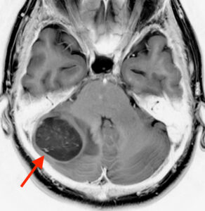
MRI検査をしたところ、
右の小脳に直径3.6mm位の脳腫瘍が見つかりました。小脳は体のバランスをコントロールしている場所で、ここが侵されるとめまいやふらつきを感じるようになります。
この方は精密検査や手術が必要と考え、総合病院へ紹介させていただきました。
(参考)
(文責:理事長 丹羽 直樹)

