頭を下げると軽くなる頭痛

頭痛がつらい時に、横になっていると何となく気分が楽になるかもしれません。しかし、痛みそのものが、頭を下にして横になると嘘のようにスーッと消え、起き上がるとまた痛くなるという場合があります。片頭痛や副鼻腔炎では頭を下げると痛くなるのとは逆です。

症例

40代後半の女性で、元々頭痛持ちではありませんでした。数ヶ月前から時々立ちくらみがあり、後頭部と前頭部に強い頭痛を繰り返すようになりました。

朝目が覚めた時は何ともないのですが、起きて会社へ行くと頭痛が始まり、次第に痛みの強さも強くなり、頻繁になってきました。あまりの痛さで我慢できず、昼休みは必ずソファに横になって休むようになりました。実際、横になると頭痛が不思議と取れて楽になる事に気が付きました。

会社の同僚が片頭痛で通院していた事もあり、横浜脳神経内科を紹介されて受診しました。

MRI検査をしたところ、

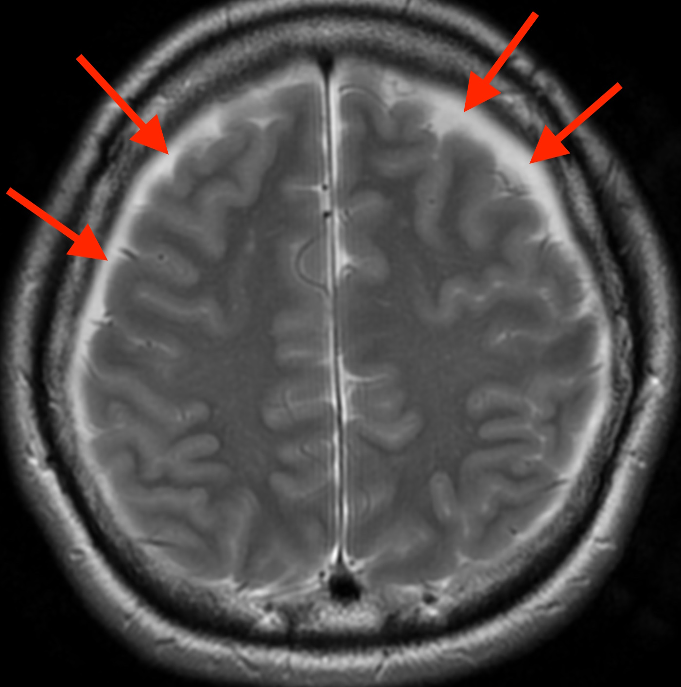
脳脊髄液減少症の軸位断MRI

脳の周りにすき間(赤矢印)が見えています。このすき間の部分は血液が貯まったもので、「慢性硬膜下血腫」と言います。

通常、慢性硬膜下血腫は通常高齢者に生じますが、この方は40代と若く、事故やケガで頭を強くぶつけた事もありません。

原因は何か?

「頭痛が横になると消え、起き上がると生じる」という点にカギがあります。

脳とそれに続く脊髄は、硬膜というケースの中に入っており、周囲は脳脊髄液(髄液)という水に浸っています。髄液は重力とともに移動します。

髄液の量が足りなくなると、立っている状態では髄液が脊髄の方へ移動するとともに、脳が下へ引っ張られ後頭部で圧迫されて痛くなります。逆に前頭部では、脳が硬膜から引きはがされる形になって痛みを生じます。横になると髄液は脳の方へ移動してバランスが戻り、痛みは軽くなるか消失します。

こうした状態を「脳脊髄液減少症」といいます。

この状態が続くと、前頭部や頭頂部を中心とした硬膜の血管(静脈)が破綻して出血するため、上のような慢性硬膜下血腫ができる原因となります。髄液の漏れている場所が確定できた場合には、硬膜を修復する手術や自分の血液を注入して漏れている穴を塞ぐブラッドパッチ治療が行われます。

この方は、頚椎(首の骨)の椎間板ヘルニアがあり、骨が硬膜を突き破って穴があいている事が分かり、手術を受けました。

参考

  1. CSF JAPAN 脳脊髄液減少症ホームページ

(文責:理事長 丹羽 直樹